Лікування каналів під мікроскопом (ендодонтія) — це сучасний стандарт, який дозволяє врятувати зуби, що раніше підлягали видаленню. Використання оптики дає лікарю 20-кратне чи навіть 30-кратне збільшення, що критично важливо для роботи з об'єктами діаметром менше міліметра.
Діагностика та підготовка
Перш ніж почати, лікар проводить КТ (конусно-променеву комп'ютерну томографію). Це дозволяє побачити кількість каналів, їх вигини та наявність запалень (кіст) у 3D-проекції.

Анестезія та ізоляція (Кофердам): ендодонтичне лікування проводиться під місцевою анестезією. Після досягнення повного знеболення треба ізолювати зуб. На зуб надівається спеціальна латексна хустка. Це критично важливо: вона запобігає потраплянню слини з бактеріями в канали та захищає слизову пацієнта від подразнювальних антисептиків.

Доступ до каналів
Під контролем мікроскопа лікар створює доступ до внутрішньої частини зуба. Це дозволяє мінімалізувати інвазивність, завдяки оптиці лікар видаляє лише уражені карієсом тканини, максимально зберігаючи здорову структуру зуба. Мікроскоп дозволяє знайти навіть «невидимі» або зарослі (кальциновані) канали, які часто пропускають при звичайному лікуванні.
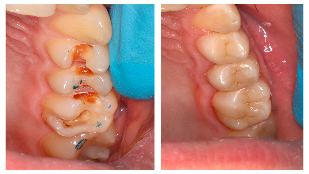
Очищення та обробка
Це найвідповідальніша частина роботи, де мікроскоп стає головним інструментом.
- Видалення пульпи: Лікар витягує запалений нерв або залишки старого матеріалу (при переліковуванні).
- Визначення довжини: За допомогою апекслокатора та візуального контролю через мікроскоп вимірюється точна довжина кожного каналу до самого кінчика (апекса).
- Механічна обробка: Використовуються гнучкі нікель-титанові файли, які очищують стінки каналу, надаючи йому конусоподібну форму.
- Антисептична обробка: Канали промиваються спеціальними розчинами (гіпохлорит натрію), які активуються ультразвуком для глибокого проникнення в мікроканали.

Пломбування (Обтурація)
Мета цього етапу — створити герметичну пробку, яка не пропустить бактерії.
- Метод гарячої гутаперчі: Розігріта гутаперча під тиском заповнює основний канал та всі його бокові відгалуження (латералі), що візуально контролюється через мікроскоп.
- Перевірка: Лікар переконується, що матеріал щільно прилягає до стінок і заповнює канал на всю довжину.
Відновлення зуба

Після пломбування каналів зуб потрібно захистити від переломів.
- Тимчасова або постійна пломба: Залежно від клінічного випадку, встановлюється герметична пломба.
- Рекомендація щодо коронки: Оскільки «мертвий» зуб стає крихким, у 90% випадків після ендодонтії рекомендується встановлення керамічної накладки або коронки для довготривалого збереження результата.
Переваги лікування під мікроскопом:
- Висока точність: Ризик пропустити канал або зробити перфорацію зведений до мінімуму.
- Порятунок "безнадійних" зубів: Можливість вилучити уламок інструмента або знайти прихований канал.
- Контроль якості: Лікар бачить результат своєї роботи на кожному етапі, а не працює «наосліп».
- Закриття перфорацій: Якщо в стінці кореня є штучний отвір (перфорація), мікроскоп дозволяє точно накласти специфічний матеріал (МТА) для його герметизації.
- Переліковування: Коли старе лікування призвело до запалення, важливо повністю видалити стару пасту, яку не завжди видно неозброєним оком.
Мікроскоп стає незамінним у ситуаціях, де звичайна стоматологія часто безсила.