Перейти до основного вмісту
    0
    років досвіду
    0
    лікарів-стоматологів
    0
    пацієнтів
    0
    сучасні кабінети
    Estetica

    Про Estetica dental clinic

    Estetica dental clinic — це сучасна стоматологічна клініка, де поєднуються професіоналізм лікарів, новітні технології та турбота про кожного пацієнта. Ми створили простір, у якому стоматологічне лікування проходить комфортно, безпечно та з максимальною увагою до деталей.

    У нашій клініці використовується сучасне обладнання та перевірені методики лікування, що дозволяє точно діагностувати проблеми та досягати стабільних результатів. Команда лікарів постійно підвищує кваліфікацію, слідкує за світовими тенденціями в стоматології та застосовує індивідуальний підхід до кожного пацієнта.

    Ми віримо, що красива усмішка — це не лише естетика, а й здоров’я та впевненість у собі. Саме тому Estetica dental clinic орієнтована на довготривалий результат, профілактику та довіру, яку наші пацієнти відчувають з першого візиту.

    Комп’ютерна томографія

    Комп’ютерна томографія (КТ) зубів — це золотий стандарт діагностики, що дозволяє отримати тривимірне (3D) зображення всієї щелепи. На відміну від звичайного рентгену, КТ дає змогу лікарю детально роздивитися кожен зуб, стан каналів та об’єм кісткової тканини під будь-яким кутом.

    Цей метод є незамінним при плануванні імплантації, лікуванні складних каналів та виправленні прикусу. Висока деталізація допомагає виявити приховані запалення та анатомічні особливості, які не видно на плоских знімках.

    Процедура триває менше хвилини, є абсолютно безболісною та безпечною завдяки мінімальній дозі опромінення в сучасних томографах. Цифрова 3D-модель дозволяє лікарю точно спрогнозувати результат лікування та уникнути помилок. КТ — це запорука якісної стоматології та вашого спокою.

    kt

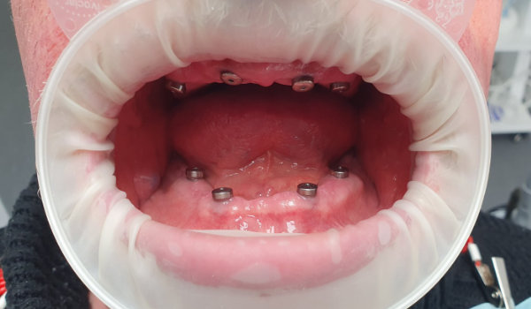
    Протезування та імплантація

    esteticaestetica
    estetica

    Послуги

    У Estetica denta clinic ми дбаємо про вашу усмішку професійно та делікатно. Використовуємо сучасні методи лікування та індивідуальний підхід до кожного пацієнта, щоб ваші зуби завжди були здоровими та красивими.
    • Художня реставрація зубів 
    • Нарощування зубів
    • Скоригування форми, довжини
    • Естетичне відновлення (сколи)
    • Відбілювання
    • Протезування зубів
    • Цирконієві коронки
    • Протезування на імплантат
    • Виготовлення тимчасової роботи
    • Протези акрилові, нейлонові.
    • Консультація, складання плану лікування
    • Лікування карієсу
    • Лікування пульпіту
    • Лікування періодонтиту
    У Estetica denta clinic ми дбаємо про вашу усмішку професійно та делікатно. Використовуємо сучасні методи лікування та індивідуальний підхід до кожного пацієнта, щоб ваші зуби завжди були здоровими та красивими.
    • Прицільний знімок зуба
    • Панорамний знімок зубів
    • 3D знімок зубів
    • Бокова та пряма проекція
    • Професійна чистка зубів AirFlow
    • Професійна чистка полірами та пастами
    • Фторування
    • Лікування дітей віком від 3х років під закисом азоту « Звеселящий газ» 
    • Лікування дітей віком від 3х років під наркозом « Медикаментозний сон»
    • Видалення молочних зубів
    • Видалення зубів будь якої складності
    • Пластика вуздечки верхньої губи
    • Пластика вуздечки язика
    • Художня реставрація зубів
    • Нарощування зубів
    • Коригування прикусу
    • Реставрація молочних зубів
    • Металеві та цирконієві коронки
    • Утримувач місця
    • Планові профілактичні огляди
    • Адаптаційні прийом (знайомство)
    • Складання плану лікування, рекомендації
    • Лікування карієсу
    • Лікування пульпіту та періодонтиту
    • Лікування кореневих каналів
    • Герметизація фісур

    Наші лікарі

    Залишилися питання? Зателефонуйте нам: