Вилучення уламка ендодонтичного інструмента — це складна процедура, яка вимагає від лікаря високої кваліфікації та використання спеціального обладнання, насамперед стоматологічного мікроскопа. Кожен випадок унікальний, і успіх залежить від багатьох факторів: типу інструмента, його довжини, розташування (у прямій частині каналу або за вигином), а також від анатомії самого зуба.
Головна мета процедури — не просто витягти метал, а зберегти при цьому максимальну кількість здорових тканин зуба та не допустити перфорації (пробиття стінки кореня).
Етапи вилучення уламка інструмента:
1. Діагностика та планування
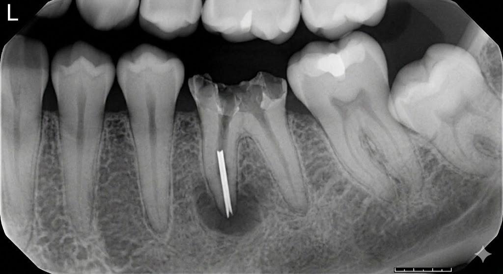
Це фундамент усього лікування. Лікар проводить прицільний рентген-знімок або, що краще, конусно-променеву комп'ютерну томографію (КТ) у 3D-проекції. Це дозволяє точно визначити:
- Довжину та тип уламка.
- Його глибину та положення відносно вигину каналу.
- Наявність запалення навколо кореня.

На цьому етапі оцінюються ризики та приймається рішення про доцільність вилучення. Іноді, якщо уламок знаходиться глибоко, а корінь дуже тонкий, безпечніше залишити його та спробувати обійти або запломбувати канал «до» нього.
2. Створення доступу під мікроскопом
Без мікроскопа вилучити інструмент майже неможливо. Збільшення в 15-20 разів і потужне фокусоване світло дозволяють лікарю бачити кінець уламка та працювати з мікроскопічною точністю.

- Лікар обережно розширює верхню частину каналу, щоб створити прямий візуальний доступ до уламка.
- Важливо видалити мінімальну кількість дентину, зберігаючи міцність зуба.
3. Обходження (байпас) або створення простору
На цьому етапі лікар намагається створити невеликий простір між уламком та стінкою каналу.
- Використовуються дуже тонкі ручні інструменти або спеціальні ультразвукові насадки.
- Мета — послабити фіксацію уламка в каналі. Якщо інструмент заклинив, лікар делікатно обходить його збоку, створюючи «килимову доріжку».

4. Вилучення (мобілізація та захоплення)
Це кульмінація процедури. Використовується одна з кількох технік:
- Ультразвук: Спеціальні мікронасадки створюють вібрацію, яка змушує уламок «викрутитися» з каналу. Часто це працює, якщо інструмент застряг у прямій частині.
- Петльові техніки (наприклад, петля Террі): За допомогою тонкого дроту або спеціального інструмента на кінець уламка накидається мікропетля, яка затягується і дозволяє витягти його.
Після успішного вилучення лікар:
- Проводить візуальний та рентгенологічний контроль, щоб переконатися, що весь уламок видалений.
- Ретельно очищує та дезінфікує канал на всю довжину (включаючи ділянку, де був інструмент).
- Пломбує канали герметичним матеріалом (гарячою гутаперчею).
Чому інструменти ламаються?
Поломка інструмента — це неприємне, але можливе ускладнення, яке зазвичай виникає з таких причин:

- Складна анатомія: Коли канал має екстремальний згин або дуже вузький просвіт, інструмент відчуває надмірне навантаження.
- Втома металу: Багаторазове використання інструментів призводить до мікротріщин, і вони можуть зламатися навіть при звичайному навантаженні.
- Порушення техніки: Наприклад, робота занадто товстим інструментом у вузькому каналі.
Важливо: Якщо інструмент зламався, лікар зобов'язаний повідомити про це пацієнта та обговорити подальшу тактику. Залишений уламок не завжди призводить до втрати зуба, але він вимагає пильного спостереження та, в більшості випадків, ендодонтичного лікування.